WENN DAS HERZ NICHT MEHR ATMEN KANN Rotablation – Präzision für das Herz
Herzkranzgefäße sind echte Lebensadern: Sie versorgen unser Herz mit Sauerstoff und Nährstoffen. Doch was geschieht, wenn sie durch Kalkablagerungen so stark verengt sind, dass herkömmliche Behandlungsmethoden wie eine Ballonaufdehnung oder Stents nicht mehr ausreichen?
Ist eine Aufdehnung der Herzkranzgefäße nicht möglich, kann ein spezielles Verfahren zum Einsatz kommen: die Rotablation. Dabei wird ein mit feinen Diamantsplittern besetzter Bohrkopf in die arteriellen Gefäße eingeführt. Mit bis zu 200.000 Umdrehungen pro Minute trägt dieser die verhärteten Kalkablagerungen präzise ab und schafft Platz für eine anschließende Erweiterung des Gefäßes.
WIE LÄUFT DIE BEHANDLUNG AB?
Die Rotablation erfolgt in der Regel unter örtlicher Betäubung in unserem Herzkatheterlabor – über das Handgelenk oder die Leiste. Der Bohrkopf wird mittels Katheter zur Engstelle geführt und trägt die Verkalkung präzise und schonend ab. Die hierdurch entstehenden Partikel sind so fein, dass sie vom Körper problemlos abtransportiert werden. Anschließend wird das Gefäß mit einem Ballon aufgedehnt und ein Stent eingesetzt, um das betroffene Herzkranzgefäß dauerhaft offen zu halten.
DIE VORTEILE
Die Vorteile der Rotablation liegen auf der Hand:
• Schonende Behandlung
• Hohe Präzision und Sicherheit durch modernste Technik
• Vermeidung einer Bypass-Operation
• Schnelle Erholungphase
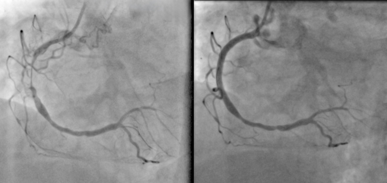
Links Bild: Gefäß vor Rotablation
Rechts Bild: Gefäß nach Rotablation und Stenting
FAZIT
Wenn andere Behandlungsmethoden nicht mehr greifen, stellt die Rotablation eine echte Alternative mit Mehrwert dar – sicher, effektiv und schonend. Unsere Kardiologinnen und Kardiologen wenden das hochspezialisierte Verfahren der Rotablation seit Jahren erfolgreich an – und haben vielen Menschen mit schwerer koronarer Herzkrankheit neue Hoffnung gegeben.
Dieser Beitrag ersetzt keinesfalls die fachliche Beratung und Behandlung durch eine Ärztin oder einen Arzt und darf nicht zur eigenständigen medizinischen und/oder psychischen Behandlung verwendet werden.








